• Haberler
  • Özgür Özel 'ayağından vuruldu' iddialarına ilişkin kırılan ayağının röntgen filmlerini paylaştı

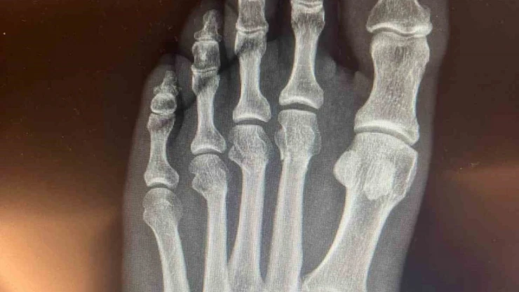
Özgür Özel 'ayağından vuruldu' iddialarına ilişkin kırılan ayağının röntgen filmlerini paylaştı

Cumhuriyet Halk Partisi (CHP) Genel Başkanı Özgür Özel, sosyal medyada yer alan 'ayağından vuruldu' iddialarına ilişkin, kırılan ayağının röntgen filmlerini paylaştı.

Özgür Özel 'ayağından vuruldu' iddialarına ilişkin kırılan ayağının röntgen filmlerini paylaştı
TAKİP ET Google News ile Takip Et

Cumhuriyet Halk Partisi (CHP) Genel Başkanı Özgür Özel, sosyal medyada yer alan ‘ayağından vuruldu’ iddialarına ilişkin, kırılan ayağının röntgen filmlerini paylaştı.

CHP Grup Başkanvekili Ali Mahir Başarır, geçen hafta TBMM’deki özel oturum öncesi gazetecilere yaptığı açıklamada, CHP Genel Başkanı Özgür Özel’in evde geçirdiği kaza sonucu ayağında ufak çaplı kırılma olduğunu duyurmuştu. Özel’in ayağında oluşan kırık hakkında sosyal medyada, Özel’in ‘ayağından vurulduğu’ iddiaları yer almıştı. Özel, tartışmalara ilişkin ayağının röntgen filmlerini paylaştı.

Bakmadan Geçme